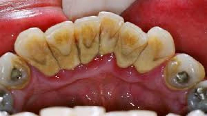
Шүдэнд бий болсон өнгөр удаан хугацаанд эрдэсжиж хуримтлагдсаар шүдний чулууг үүсгэдэг. Шүдний чулуу нь бактери ихээр агуулдаг учир амны хөндийн нянгийн гаралтай үрэвслүүд үүсгэх шалтгаан болдог аж.
Иргэд өдөрт 2-3 удаа тогтмол шүдээ угааж( өнгөрийг гүйцэд арилгах), зургаан сар тутамд урьдчилан сэргийлэх байдлаар эмчид үзүүлснээр энэ төрлийн шүдний өвчлөлөөс сэргийлэх юм.

| Шүдний чулуу гэж юу вэ? | ||
| Үзсэн: 7483 | Mongolian National Broadcaster |

Үндэсний телевиз
Сэтгэгдэл бичих:
АНХААРУУЛГА: Уншигчдын бичсэн сэтгэгдэлд MNB.mn хариуцлага хүлээхгүй болно. ТА сэтгэгдэл бичихдээ хууль зүйн болон ёс суртахууны хэм хэмжээг хүндэтгэнэ үү. Хэм хэмжээг зөрчсөн сэтгэгдэлийг админ устгах эрхтэй. Сэтгэгдэлтэй холбоотой санал гомдолыг 70127055 утсаар хүлээн авна.